뉴스레터

대한장연구학회 8월 알림메일

관리자 작성일 : 2011-08-17 조회수 : 5,219

안녕하십니까? 회원 여러분
태풍과 수많은 비로 전국적으로 많은 피해가 났다는 슬픈 소식이 들립니다.
선생님들의 다 무사하신지요.
아무리 나쁜 일이 많아도 “이 또한 지나가리라” 라고 생각 하면 힘든 일도 잘 극복되리라고 믿습니다.
크론병 심포지엄
 
크론병에 대한 심포지엄 2011년 7월 30일과 31일 양일간 쉐라톤 워커힐 호텔에서 열렸습니다.
약 100명의 선생님들이 참석하여 대성황을 이루었습니다. 강의는 우리나라에서는 예병덕 교수님과 천재희 교수님이 강의를 해주셨습니다. 예병덕 교수님은 우리나라의 크론병 진단과 치료에 관한 대해 다기관 연구를 발표 하셨고 천재희 교수님은 베쳇병의 진단과 치료에 대한 강의가 있었습니다. 외국 연자로는 David Rubin과 Thomas Ullman 두 분이 하셨는데 주제가 염증성 장질환의 치료목적에 대한 것이었는데 한 분은 이 점막의 치유가 목적이라는 관점과 다른 분은 증상의 호전이 치료의 목적이라는 서로 다른 관점에서 강의를 해주셔서 많은 사람들에게 호평과 학문적으로 유익한 지식을 공유를 할 수 있었던 뜻 깊은 시간이었습니다
52차 학술 집담회
52차 학술 집담회가 2011년 9월 2일 오후 6시부터 8시까지 고려대 안산병원 대강당에서 열립니다.
많고 훌륭한 증례의 발표와 토론이 있기를 기대하고 많은 참여를 부탁 드립니다.
증례접수 마감은 2011일 8월 19일까지 입니다.
2011년도 대한 장연구학회 연수강좌
2011년도 대한 장연구학회 연수강좌가 2011년 9월 25일 일요일에 서울에 있는 쉐라톤 워커힐 호텔에서 개최됩니다. 진료실에서 환자를 보면서 어려웠던 실제적인 문제 에서부터 장질환 연구의 아주 기초적인 부분까지 모든 부분을 총망라한 내용을 다룹니다. 명강의로 소문난 선생님들께서 강의를 담당 해주셔서 회원 여러분들에게 이제까지의 지식을 다시 정리하고 최신의 지식을 습득 할 수 있는 좋은 기회가 될 것 입니다. 사전 등록은 2011년 9월 16일(금) 24시 까지 입니다. 많은 참여부탁 드립니다.
제6차 한일 IBD 심포지엄
제6차 한일 IBD 심포지엄이 2012년 1월 28일 토요일에 일본 동경에 있는 신주쿠 게이오프라자 호텔에서 열립니다. 아직 시간이 많이 남아 있고 프로그램도 정해지지 않았지만 미리 달력에 표시해 두시면 좋겠습니다. 자세한 일정이나 프로그램이 나오면 다시 공지 하겠습니다.
8월말에 은창수 선생님과 박철희 선생님 두 선생님께서 미국으로 연수를 떠나십니다, 은창수선생님은 University of North Carolina의 Microbiology & Immunology Center에 1-2년간 연수예정입니다. 연구분야는 염증성장질환의 병태생리에서 장내세균의 역할에 관한 연구입니다. 박철희선생님은 University of Utah의 Department of Pharmaceutics & Pharmaceutical Chemistry, College of Pharmacy 로 연수를 가십니다. 주로 연구할 분야는 Drug Delivery System에 대한 연구를 주로 하실 것 같습니다. 두 분의 연수 가시는 것을 축하 드리고 앞으로 많은 업적 있기를 기원합니다.
 

당첨되신 분들께는 학회 주최 세미나 또는 학술대회
등록비를 면제하여 드릴 예정입니다.

회원여러분의 많은 참여 부탁 드립니다.

문제 :
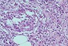
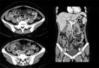
44세 여자 환자로 내원 3주 전부터 발생한 발열 및 1주 전부터 발생한 설사를 주소로 내원하였다. 최근 여행력은 없었으며, 과거력에서 특이 소견은 관찰되지 않았으나, 3주 동안 약 3 kg 정도의 체중 감소를 호소하였다. 이학적 검사에서 혈압 110/70 mmHg, 심박동 94회/분, 체온 38.3 oC 였고, 혈액 검사에서 WBC 2,900/mm3, Hb 11.4 g/dL, platelet count 152,000/mm3 이었고, albumin 3.4 g/dL, AST/ALT 68/49 IU/L, LDH 835 IU/L, CRP 10.1 mg/dL (참고치 < 0.5) 이었다. 복부 전산화 단층 촬영술(그림 1)을 시행하였고, 대장내시경(그림 2)을 시행하였으며, 조직 검사에서 그림 3과 같은 소견이 관찰되었다. 진단은?

1. Lymphoma
2. Intestinal tuberculosis
3. Crohn’s disease
4. Typhoid fever
5. Amoebic colitis
 
Fig. 1 Fig. 2 Fig. 3
 
     
1) 대한장연구학회 홈페이지 내 연구자료실에는 장을 연구하시고 진료하시는 선생님들의 우수한 논문들을 소개하고 있습니다. 2010년 하반기 해외학회지에 실린 선생님들의 논문을 소개해 놓았습니다. 최근에 SCI급 논문을 발표하신 경우 학회로 연락주시거나 홈페이지 게시판에 올려주시면 정리하여 소개하도록 하겠습니다.
2) 퀴즈에 참여해주신 많은 선생님들께 감사를 드립니다. 퀴즈를 맞추시고 당첨되신 분들은 2011년 연수강좌 등록비를 면제해 드립니다. 잊지 마시고 혜택을 누리시기 바라며 53차 퀴즈에 더욱 많은 관심과 참여를 부탁드립니다. 
3) 학회홈페이지는 회원 여러분들의 관심과 성원 속에서 발전하기 때문에 여러 회원님의 도움과홈페이지 방문이 매우 중요합니다. 저희 홈페이지에 건의하시고 싶거나 수정 해야할 것이 있으면 언제든지 주저하지 마시고 e-mail주십시요(thekasid@kornet.net). 여러 선생님들의 훌륭하신 고언을 기다립니다.