
안녕하십니까? 회원 여러분
뜨거운 여름이 시작되기 전에 전국적으로 억수같이 장대비가 쏟아지네요.
또 조만간 강력한 태풍이 온다는 일기예보에 마음은 무겁지만 흐린 날이 지나면 좋은 날이 오리라는 걸 알기 때문에 지금은 각자 일에 최선을 다하며 좋은 날을 기다리는 회원님 들이 되기를 기원 합니다. |
대한장연구학회 영문 홈페이지 |
|
| 장연구학회 영문 홈페이지를 구축을 위한 task force팀이만들아졌습니다, 향후 우리학회의 발전이나 국제학회 개최 시 영문 홈페이지 구축이 절대적으로 필요함으로 영문 홈페이지 구축을 위한 팀이 만들어 졌습니다. |
|
|
대한장연구학회지 증편 |
|
| 우리 학회가 점점 발전 하면서 학회지에 대한 위상도 높아지고 투고 원고의 양도 많아졌습니다. 따라서 지금까지 연 2회 발간 하던 학회지를 연 3회로 증편 하여 발간 하기로 하였습니다 회원 님들께서 훌륭한 연구 성과를 투고 부탁 드립니다. |
|
|
심포지엄 |
|
| 크론병에대한 심포지엄 2011년 7월 30일과 31일 양일간 열립니다. 장소는 쉐라톤워커힐호텔 입니다. 크론병의 대한 경험과 학문적인 지식이 풍부한 국내 및 국외 연자 ( Dr. David Rubin, Thomas Ullman) 들이 강의를 맡아 주셨습니다. 많은 참석을 바랍니다 |
|
|
52차 퀴즈 |
| 52차 퀴즈의 정답자는 장재훈선생님과 천상열 선생님이 당첨 되셨습니다. |
|
|
|
 |
| |
|
당첨되신 분들께는 학회 주최 세미나 또는 학술대회
등록비를 면제하여 드릴 예정입니다.
회원여러분의 많은 참여 부탁 드립니다.
|
|
| 문제 : |
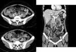
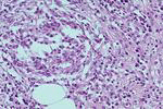
44세 여자 환자로 내원 3주 전부터 발생한 발열 및 1주 전부터 발생한 설사를 주소로 내원하였다. 최근 여행력은 없었으며, 과거력에서 특이 소견은 관찰되지 않았으나, 3주 동안 약 3 kg 정도의 체중 감소를 호소하였다. 이학적 검사에서 혈압 110/70 mmHg, 심박동 94회/분, 체온 38.3 oC 였고, 혈액 검사에서 WBC 2,900/mm3, Hb 11.4 g/dL, platelet count 152,000/mm3 이었고, albumin 3.4 g/dL, AST/ALT 68/49 IU/L, LDH 835 IU/L, CRP 10.1 mg/dL (참고치 < 0.5) 이었다. 복부 전산화 단층 촬영술(그림 1)을 시행하였고, 대장내시경(그림 2)을 시행하였으며, 조직 검사에서 그림 3과 같은 소견이 관찰되었다. 진단은?
1. Lymphoma
2. Intestinal tuberculosis
3. Crohn’s disease
4. Typhoid fever
5. Amoebic colitis
|
|
|
|
|
| |
|
|
 |
|
|
|
 |
| 1) |
대한장연구학회 홈페이지 내 연구자료실에는 장을 연구하시고 진료하시는 선생님들의 우수한 논문들을 소개하고 있습니다. 2010년 하반기 해외학회지에 실린 선생님들의 논문을 소개해 놓았습니다. 최근에 SCI급 논문을 발표하신 경우 학회로 연락주시거나 홈페이지 게시판에 올려주시면 정리하여 소개하도록 하겠습니다.  |
|
| 2) |
퀴즈에 참여해주신 많은 선생님들께 감사를 드립니다. 퀴즈를 맞추시고 당첨되신 분들은 2011년 연수강좌 등록비를 면제해 드립니다. 잊지 마시고 혜택을 누리시기 바라며 50차 퀴즈에 더욱 많은 관심과 참여를 부탁드립니다.  |
|
| 3) |
학회홈페이지는 회원 여러분들의 관심과 성원 속에서 발전하기 때문에 여러 회원님의 도움과홈페이지 방문이 매우 중요합니다. 저희 홈페이지에 건의하시고 싶거나 수정 해야할 것이 있으면 언제든지 주저하지 마시고 e-mail주십시요(thekasid@kornet.net). 여러 선생님들의 훌륭하신 고언을 기다립니다.  |
|
|
|
|
| |
|
 |